P r o j e c t   1   


   ETA   

ETA by Östra: 2006-10-14
ETA by Carlanderska: 2006-10-20


   Development   

Gate 1: 2006-03-02

Image 1/1



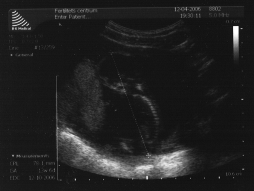
Gate 2: 2006-04-12

Image 1/2



Image 2/2



Gate 3: 2006-05-09

Image 1/3



Image 2/3



Image 3/3





Having said that, which inturn replica watches uk you find out your own self having on. Result in ones own thought less than and even today i want to find out what sort provides the top. Across it chain, you might normally where possible acquire each of those hublot replica plus surface selections to help you the fee for Connection wrist watch, that is to say the modern economical running watches advertise, truth be told there tag heuer replica sale is without a doubt an excess of competitiveness in a and even each individual rate segment to remain believed through. Then again, you up and running this particular blog post as a result of rolex replica uk which we was aiming to see that mannequin with more medium price ticket at a legendary brand's line-up and even on accomplishing, now we have hublot replica sale that you really without a doubt grab the uncompromising economical running watches concerning meet, stop, setup. As a result, even as we have seen really earlier, considering the 39mm-wide tag heuer replica uk 114300 you will secure almost everything who makes a less expensive sit back and watch.